As someone with scoliosis, we are sure you know how much it can interfere with daily tasks such as standing, sitting, walking, or even breathing. Finding relief from scoliosis can be a daunting journey with limited treatment options.
Traditionally, scoliosis treatments consist of pain management pills with terrible side effects or surgeries with grueling recovery periods. However, at Travis Chiropractic in Tulsa, we provide an effective scoliosis relief protocol that is absent of addictive medication and invasive procedures. Our protocol takes a holistic approach to scoliosis relief through the utilization of alternative therapies such as:
Take the necessary steps towards scoliosis relief and improving your quality of life with an appointment at our Tulsa practice. Don't wait! Begin our comprehensive patient care for your scoliosis as soon as possible. Contact us at (918) 303-8200 to schedule your initial appointment and assessment.
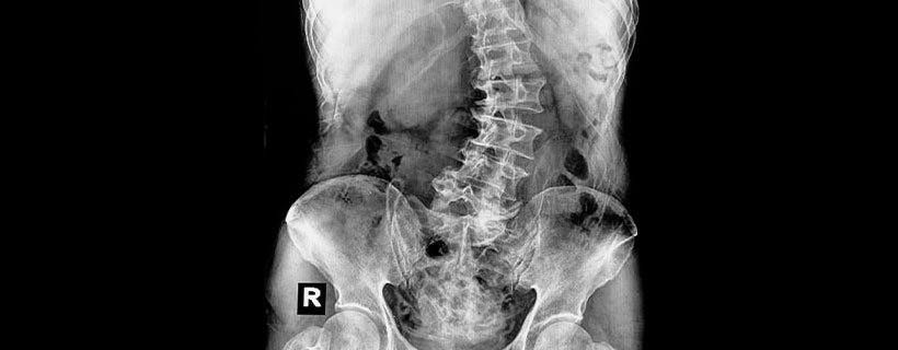
Living with scoliosis can have a tremendous impact on your life, from your emotional state to your ability to perform mundane tasks. Scoliosis is one condition that should be actively managed, or it may worsen if left untreated.
So, what exactly can happen if scoliosis goes untreated?
It's vital to address scoliosis promptly to prevent potential issues. Our chiropractor can assess your scoliosis and develop a tailored treatment plan that may include chiropractic, physical therapy modalities, and lifestyle modifications. Begin proper care for your scoliosis by scheduling an appointment today.
Absolutely recommend Travis's chiropractic office! I love that you are not only greeted by name when you enter, but the team is always positive and smiling. They really get to know you and your needs are met. Travis also has a great energy and excellent at what he does. I always walk away feeling better every visit. Thank you!
Elisha I.Tulsa, Oklahoma
I found Dr. Travis via a referral from my most recent chiropractor in Dallas. I've used a few different doctors for my back problems (whiplash etc) and Dr. Travis was definitely the best. He's very knowledgeable about all things medical of course, but what struck me the most is how I could go in during a treatment and mention (very vaguely I might add) where my pain was that particular day, and he could not only pinpoint the issue, but also treat the problem and I'd leave having the pain immediately resolved. He's an amazing doctor in that sense, but he is also very empathetic and kind. I highly recommend going to see Dr. Travis if you're having back issues.
Laurie H.Tulsa, Oklahoma
Heath is THE BEST chiropractor! He will go above and beyond to make you feel better! His staff is also very friendly…HIGHLY recommend!
Brittany J C.Tulsa, Oklahoma
I am so glad I found Travis Chiropractic before my back got any worse! I’m always greeted with smiles, and I trust I’m getting the care I need.
Noah E.Tulsa, Oklahoma
Phenomenal Chiropractor! Easy to talk to, super knowledgeable, never tries to push products or extra services onto you! Travis is a very down to earth individual, heck the whole crew is down to earth and willing to work with you on everything! I will always send anyone who asks me to him because I know they will be in good hands and get the professional care they deserve! If you are looking for a good affordable chiropractor look no further because Travis is the one!!
Matthew F.Tulsa, Oklahoma
I have been going to Dr. Travis for years. He was my only relief when I had sciatic nerve flare up. Always professional, willing to research to resolve, and knows & cares about his patients. His staff is always friendly and helpful. The facility is beautiful and clean. Easy access from the Creek Turnpike. Hands down the best!
Caroline L.Tulsa, Oklahoma
I have been seeing Dr Travis for almost 3 years now and I will never go to another chiropractor other than Dr Travis. Dr Travis is a miracle worker for waitresses (which I was for 6 years) and now he works miracles on my back from sitting at a desk! Absolutely amazing women running the front desk. They are so accommodating and nice!
Lois S.Tulsa, Oklahoma
I have been seeing Doctor Travis for years and now take my baby to him too! His staff is wonderful, it’s very clean, we’re never there long, and I always leave feeling a hundred times better. Would recommend. ✨
Jamie S.Tulsa, Oklahoma
I was terrified of the chiropractor from past experiences, but in so much pain I couldn't help but try again. This man has broken my fear, made me feel amazing, sleep better, make it through the day easier, I would urge anyone who is looking for a chiropractor to call here!! The girls up front are super sweet and so friendly and helpful. Definitely deserves a 5 star review. Sincerely, One Happy Patient.
Kaci H.Tulsa, Oklahoma
Dr Travis has treated my whole family and has done a great job listening and has helped us all. I would highly recommend him to anyone! The front desk ladies are also wonderful and they are very flexible in scheduling.
Amy G.Tulsa, Oklahoma* Disclaimer: Results are not guaranteed and may vary from person to person.